[本站讯]近日,山东大学齐鲁医院与北京邮电大学合作,联合国内多家医院揭示正常老化以及多种神经退行性疾病的脑结构特征表征,以“Macroscale connectome topographical structure reveals the biomechanisms of brain dysfunction in Alzheimer's disease”为题在Science Advances(IF=13.70,中科院1区)上发表文章。北京邮电大学人工智能学院智能医学中心赵坤、山东大学齐鲁医院放射科副教授王大伟为本文的共同第一作者。

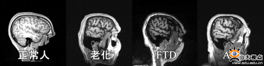
正常老化、阿尔茨海默病(AD)和额颞叶痴呆(FTD)等神经退行性疾病(或过程)具有的交叉重叠的脑结构表征,却具有典型区别的临床表现。“不同疾病(状态)之间的脑结构特异性表征是什么”“什么微观因素导致了不同疾病(状态)的复杂临床表型”是当前尚未解决的关键科学问题。

为解决上述问题,研究团队纳入7000余例多中心、跨疾病数据集的结构磁共振影像(MRI),建立了可以表征脑结构异常的新型脑网络计算方法,进一步基于跨疾病、多组学数据,系统探索了不同疾病的脑结构异常模式。

研究发现老化呈现分布广泛但程度轻微的脑结构变化,而AD则呈现出典型的区域损伤,如默认网络和皮下核团,揭示了通过复杂脑网络结构可以更好地捕捉疾病特异性表征。研究进一步探索了不同疾病脑结构异常模式背后潜在的生物机制,结果显示老化主要与离子运输变化相关,不同痴呆类疾病则与化学神经递质异常相关,揭示了痴呆与老化生物过程的差异。此外,研究还揭示了不同痴呆类型之间的特异性,如AD主要与5-羟色胺系统相关,帕金森(PD)主要与多巴胺系统相关,为不同类型痴呆的特异性临床表型提供了生物学依据,也为不同疾病提供潜在干预靶点。

王大伟副教授团队长期致力于神经退行性疾病的医工交叉、融合研究,坚持以临床问题为导向,开展了大量多模态脑功能成像的工作。研究成果发表于Science Advances,Environ Int,IEEE Trans Med Imaging,Commun Biol,CNS Neurosci Ther等杂志,为各种神经退行性疾病的早期诊断和精准治疗提供了有力的科学支持。